Those of us so fortunate as to have worked under his guidance learned how to think freely, yet rigorously, and how to dream big and gamble on new adventures. We learned from Oscar how to free ourselves from convention, yet abide by the principles of science as crafted by its most honorable pillars. We remember two pieces of advice given by Oscar: “Don't believe everything you read in the scientific literature” and “There are a thousand Ph.D. thesis projects in a mound of dung.” The latter brings to mind the famous phrase of Vannevar Bush that science is an “endless frontier.” Oscar Miller was comfortable on the frontier of the unknown; he taught us that it is only on the frontier that discoveries of significance can be made. Our community of science will miss Oscar, as will all his dear friends and family. A good man has passed.Most of you have never heard of Oscar Miller but you've seen his work. He invented a technique for looking at genes in the electron microscope. The beauty of his technique, called "chromatin spreads" is that it shows genes in action. They are captured in the act of being transcribed and you can see the RNA being produced.
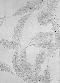
His photographs are in all the textbooks. The example shown here is ribosomal RNA genes being transcribed in the nucleolus. The "Christmas tree" structures are due to multiple transcription complexes transcribing the same gene. (Ribosomal RNA genes are very active.) The newly synthesized RNA is splayed out on either side of the DNA being transcribed. It would look like a cone inside the cell but it appears two dimensional here because it has been spread out on an electron microscope grid.
The initial transcripts are quite short but as the transcription complexes progress along the gene they get longer and longer giving rise to the Christmas tree structure. You can learn a lot from looking at these fantastic pictures. Notice that there are multiple ribosomal RNA genes arranged in tandom along the genome with relatively short spacers between them. These photos were taken before cloning and sequencing were invented so it was our among our first clues about gene organization in eukaryotes.
There's not much actual data from the 1960s that's still shown in modern textbooks. Remember Oscar Miller the next time you see his work.
McKnight, S., Beyer, A., and Gall, J. (2012) Retrospective. Oscar Miller (1925-2012). Science 335:1457. [DOI: 10.1126/science.1220681

